A cirurgia dos dentes inclusos, ou dos cisos, tem evoluído bastante nas mãos de profissionais bem treinados, dando maior conforto e agilidade para o procedimento. As mais diversas indicações, como nos tratamentos ortodônticos (aparelhos dentários) e na prevenção de cáries e problemas periodontais (gengivais) fazem dessa cirurgia a maior rotina da especialidade de cirurgia e traumatologia buco-maxilo-facial.
Melhore sua qualidade de vida com Implantes Dentários!
Os implantes dentários são utilizados para reabilitar os dentes perdidos. Através de uma técnica precisa e apurada o paciente tem a possibilidade de realizar uma reabilitação segura, esteticamente previsível, devolvendo uma harmonia ao sorriso com a máxima função mastigatória.
A cirurgia ortognática pode ser utilizada com uma eficácia que pode chegar a 100% de sucesso no tratamento da apnea do sono, tratando as condições de ronco e deficiências obstrutivas do sono.
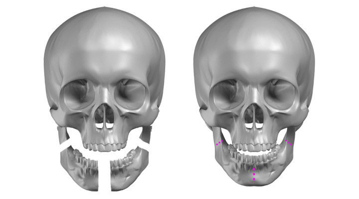
A cirurgia ortognática tem sido indicada para a correção dos defeitos da harmonia facial que têm relação com a arcada dentária dos pacientes. Esta técnica cirúrgica pode trazer ganhos estéticos na face, além de corrigir a oclusão (mordida) do paciente, em conjunto com o tratamento ortodôntico (aparelho dentário).
Os traumatismos de face decorrentes de acidentes automobilísticos ou por agressões físicas são muito comuns nos grandes centros urbanos, como os ferimentos de face, as fraturas dos maxilares, do nariz e de outros ossos da face. Seu tratamento normalmente necessita de condutas ambulatoriais associadas a condutas cirúrgicas em hospitais.
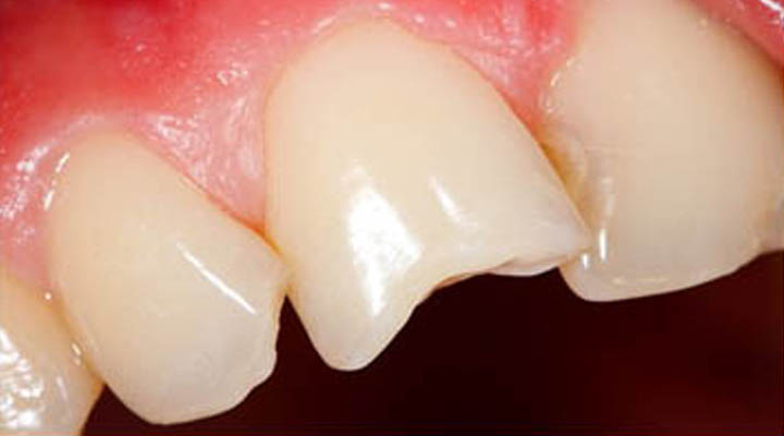
Os dentes, pela projeção na boca, muitas vezes são alvo de acidentes com fraturas e/ou luxações (deslocamentos dentários traumáticos). O tratamento destes acidentes deve ser realizado pelo cirurgião-dentista para o correto posicionamento dentário no osso alveolar. Nos casos de avulsão (quando o dente sai da boca e cai no chão) é fundamental armazená-lo no leite e levar imediatamente para um cirurgião-dentista.
Os bebês que nascem com fissuras labiais ou lábio-palatais necessitam de correções cirúrgicas precoces, ainda enquanto bebês. Normalmente são necessárias mais de uma intervenções ao longo do crescimento da criança, iniciando com o fechamento do defeito labial e em seguida a fissura palatal ainda quando bebê.
A articulação têmporo-mandibular (atm) pode ser acometida por diversos distúrbios que geram, dentre outros sinais e sintomas, estalos ao abrir a boca, limitação de abertura bucal (trismo) e dores na articulação durante a abertura de boca. Seu tratamento muitas vezes é clínico com medicamentos e uso de placas miorrelaxantes, mas pode haver necessidade de tratamento cirúrgico em alguns casos.
A boca, assim como as várias partes do corpo, pode ser acometida por várias doenças de origem bacteriana, fúngica ou viral. Também pode ser alvo do acometimento de cistos e tumores principalmente de origem dentária. Seus tratamentos envolvem a realização de biópsias, os tratamentos medicamentosos e os tratamentos cirúrgicos.